Cosmetic Dentistry Success Stories
You want to feel confident about your smile. If stained, chipped or misaligned teeth are holding you back, cosmetic dentistry may be the answer. Fondy Family Dental offers a range of solutions including dental implants, veneers, crowns and common chipped-tooth repair. Let us help you find the best path forward. These examples show what’s possible.
Clear Aligner Therapy
Clear aligner therapy is an alternative to traditional braces that gradually moves teeth. It can help align teeth and close gaps.
In this example, clear aligner therapy was used to align the teeth.

Before Smile

Before (Retracted)

After Smile

After (Retracted)
For this patient, clear aligner therapy closed the gap between the front teeth.

Before Smile

Before (Retracted)

After Smile

After (Retracted)
We were able to bring the lower front tooth back into position for this patient using clear aligners.

Before Teeth

Before (Retracted)

After Teeth

After (Retracted)
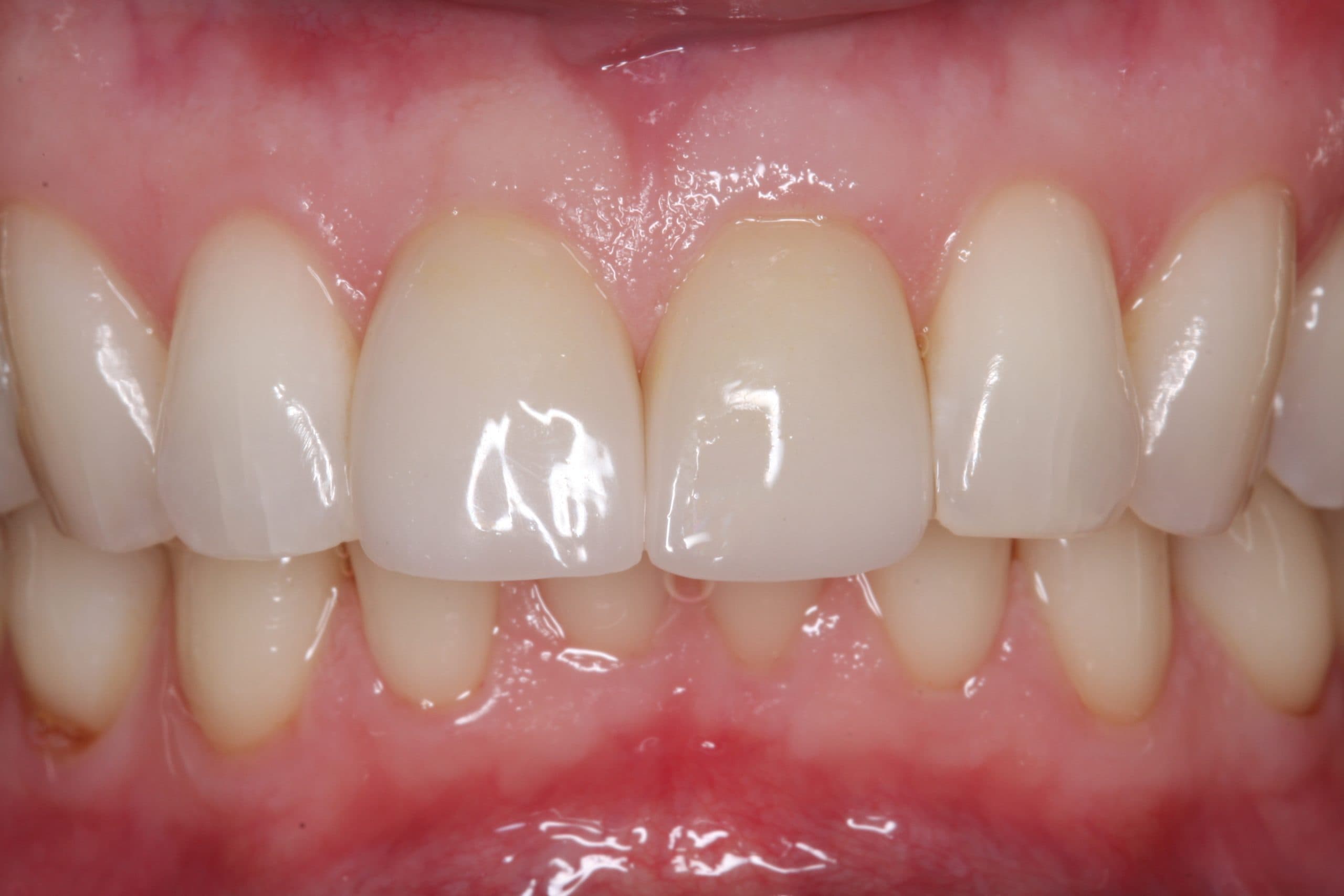
Dental Crowns
A dental crown is a cap placed over a damaged tooth to provide protection and restore its look and function. Crowns can be used to cover cracked, broken or root-canaled teeth. Older crowns can also be replaced with newer materials to provide an improved aesthetic appearance.
This patient’s broken front tooth was restored using a dental crown.

Before Smile

Before (Retracted)

After Smile

After (Retracted)
For this patient, discolored crowns were replaced to better match the color of their teeth.

Before Smile

Before (Retracted)

After Smile

After (Retracted)
In this example, the patient had a front tooth fracture. An esthetic crown—which is a cap specifically designed to match the surrounding teeth—was used to restore the tooth.

Before Smile

Before (Retracted)

After Smile

After (Retracted)
This patient needed to change his existing crown to a more natural color since he has gotten older.

Before Smile

After Smile
This patient wanted a smile makeover due to older dental work not matching. Dental crowns were placed to help get a cohesive look that she loves!

Before Smile

Before (Retracted)

After Smile

After (Retracted)
This patient had a failing bridge that needed to be replaced. He was happy with the result!

Before Smile

Before (Retracted)

After Smile

After (Retracted)
This patient had old, large fillings that were failing so they decided to get them replaced with crowns which look like her natural teeth!

Before Smile

Before (Retracted)

After Smile

After (Retracted)
This patient needed their two front teeth to be restored with crowns in order to match her other crowns on her front teeth.

Before Smile

Before (Retracted)

After Smile

After (Retracted)
Dental Implants
A dental implant is often the best way to replace a missing tooth. The procedure requires a titanium screw-like implant to be inserted into the jawbone to anchor the artificial tooth. Dental implants can match characteristics of surrounding teeth.

Before Smile

Before (Retracted)

After Smile

After (Retracted)

Before Smile

Before (Retracted)

After Smile

After (Retracted)

Before Smile

Before (Retracted)

After Smile

After (Retracted)

Before Smile

After Smile

Before Biting

Before (Open)

After Biting

After (Open)

Before Smile

Before (Retracted)

After Smile

After (Retracted)

Before Smile

Before (Retracted)

After Smile

After (Retracted)

Before (Retracted)

After (Retracted)
Replaced or Bonded Fillings
The filling of a cavity or damaged area of a tooth is an everyday dental repair technique that also can serve cosmetic purposes. The white bonding material used in fillings can be used for chipped-tooth repair or to replace aging, stained fillings.
In this example, bonded fillings were used to repair chipped front teeth.

Before Smile

Before (Retracted)

After Smile

After (Retracted)
This patient had existing fillings to close a gap. The filings were stained and chipped. New fillings were used to restore their smile.

Restorations Before

Restorations Removal

Restorations After
Veneers
A dental veneer is a thin layer of ceramic that goes on only the front side of the tooth to enhance the appearance of the tooth. They’re an effective cosmetic dentistry option for chipped or stained teeth.
In this case, veneers were used instead of fillings to create a more youthful smile.

Before Smile

Before (Retracted)

After Smile

After (Retracted)
